Cutting Faster with Minimum Power
Thanks to its 445nm wavelength, with higher absorption in haemoglobin, cutting is faster and requires much less power. The result is treatment with minimised thermal damage and increased efficiency.


Wide Range of Treatments
Aquamarine can be used for variety of treatments in soft tissue surgery, periodontology, endodontics and haemostasis. In addition, it can be used for single tooth whitening* and as treatment option for a variety of indications.
Enhanced Patient Comfort
The diode laser operates at a wavelength absorbed by the soft tissue more efficiently, resulting in more precise cutting and faster healing thus increasing patient comfort. The focused beam treats the affected area efficiently and in less time limiting operational time.


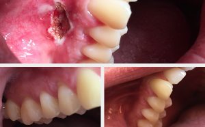
Surgery
Laser allows for almost bloodless surgical procedures to be performed more efficiently with less pain and higher visibility. Due to low energy and 445nm wavelength used by Aquamarine, carbonisation and thermal damage to surrounding tissue are minimised, while cutting is faster.
Endodontics
The diode laser can also be used as additional therapy in endodontics after conventional rinsing to effectively reduce germs in the root canal in areas a rinsing fluid cannot reach.


Periodontology
Aquamarine can also be used as supplementary therapy for improved germ and bacteria reduction in in the periodontal pocket, in addition to conventional scaling and root planning.
Single Tooth Whitening
As an added benefit, Aquamarine can be used for single tooth whitening*. *Clinical trials in progress
