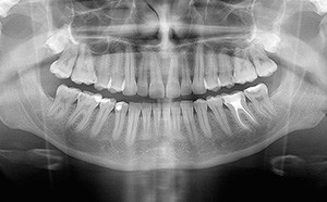
Excellente qualité d'image
FONA ART Plus et Art Plus C utilise les meilleures technologies brevetées d'imagerie numérique. Son capteur CdTe (tellurure de cadmium)-CMOS convertit directement les rayons X en signaux électriques, augmentant ainsi la clarté et le contraste de l'image en ne nécessitant qu'une fraction de la dose de rayonnement habituelle. Découvrez une qualité d'image extraordinaire à chaque exposition.


Mise au point automatique pour un diagnostic détaillé
La technologie de capteur CdTe fournit plus de 4 200 images avec une mise au point différente au cours d'une seule exposition panoramique. Grâce à l'outil de mise au point automatique, le logiciel passe automatiquement à la couche la plus au point, corrigeant ainsi les zones de flou, sans nécessiter d'expositions supplémentaires.
Facile à manipuler
L'utilisation d'Art Plus (Pan seulement) et Art Plus C (Pan-Ceph) est à la fois simple et efficace. Un panneau de commande ergonomique doté de symboles intuitifs et d'un affichage alphanumérique favorisent un flux de travail fluide. Les paramètres d'exposition sont faciles à configurer, il suffit de choisir parmi 4 tailles de patient, 7 programmes panoramiques et 3 programmes céphalométriques.
