Solution de diagnostic au quotidien
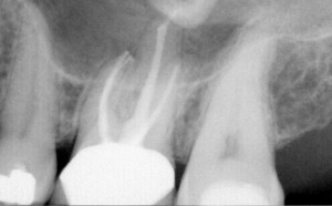
CDR est prêt à capturer des radiographies de haute qualité dès sa première utilisation. La technologie CMOS APS (capteur à pixels actifs) offre des images nettes, à faible bruit et de haute résolution qui montrent les moindres détails pour permettre un diagnostic précis.


Investissement sûr
CDR est un capteur intra-oral éprouvé qui envoie des images de haute qualité sur votre écran d'ordinateur, nécessitant seulement une fraction du rayonnement émis dans l'imagerie traditionnelle. Le capteur avec son câble ainsi que le câble USB du PC peuvent être détachés du boîtier de commande à distance CDR, permettant une flexibilité et une mobilité totales, et augmentant la sécurité de votre investissement.
Positionnement confortable
La forme ergonomique de CDR rend son positionnement plus facile et plus précis. Ses coins arrondis sont confortables pour vos patients tandis que l'interface de câble du capteur, idéalement situé, facilite le positionnement du capteur. Le système est facile à mettre en œuvre et encore plus facile à utiliser.
