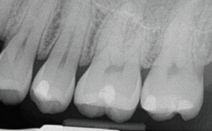
Excellente qualité d'image
L'excellente technologie CMOS APS (capteurs à pixels actifs) dont est doté CDRelite offre des images précises, à faible bruit et de haute résolution qui montrent les moindres détails pour répondre à votre besoin quotidien de diagnostic précis.


Câble unique remplaçable sur site
CDRelite intègre la technologie unique de câble amovible sur les trois tailles de capteurs. En outre, votre cabinet dentaire peut profiter de la simplicité et de la commodité d'un processus de remplacement de câble en une seule étape qui assure la sécurité de votre investissement.
Toujours prêt pour l'exposition
CDRelite est toujours prêt pour l'exposition. Aucun bouton d'activation du capteur n'est nécessaire, ce qui facilite le processus d'acquisition et minimise le risque de devoir répéter l'exposition.
