
Fonctions
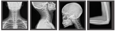
La radiographie simplifiée
Le DigiEye 280 est un système de radiographie conventionnelle, reposant sur le sol et équipé de la technologie innovante de Mindray.

Un positionnement souple et efficace
Passez rapidement de la position debout à la position allongée. La table à panneau flottant réduit considérablement le temps de mise en place des patients et permet d'augmenter le nombre de radiographies par jour.

Des technologies de pointe pour une qualité d'image remarquable
Le générateur de rayons à fréquence plus élevée et la durabilité du tube garantissent la qualité des radiographies.

Console d'opérateur multifonctionnelle
- Saisie et récupération des données patient
- Réglage des paramètres d'exposition
Applications
