
Fonctions
La radiographie simplifiée
Le DigiEye 280 est un système de radiographie numérique, reposant sur le sol et équipé de la technologie innovante de Mindray. Son capteur plan mobile est conçu pour répondre à tous vos besoins cliniques.

Un positionnement souple et efficace
Passez rapidement de la position debout à la position allongée. La table à panneau flottant réduit considérablement le temps de mise en place des patients et permet d'augmenter le nombre de radiographies par jour.

Un capteur plan pour tous les besoins cliniques
La souplesse d'utilisation du capteur plan vous permet de prendre en compte toutes les positions : debout contre le mur et allongé sur la table.Les patients en brancard ou en fauteuil roulant sont examinés directement, ce qui permet d'éviter les blessures secondaires

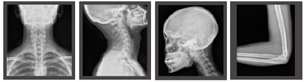
Des technologies de pointe pour une qualité d'image remarquable
Le générateur de rayons à fréquence très élevée et la durabilité du tube garantissent la qualité des radiographies. La DQE (efficacité quantique de détection) élevée du capteur améliore la qualité de l'image tout en réduisant la dose d'exposition requise pour obtenir des diagnostics cliniques.

Console d'opérateur multifonctionnelle
- Saisie et récupération des données patient
- Réglage des paramètres d'exposition
- Acquisition, optimisation ,automatique et post-traitement des images
- Impression, transfert et stockage des images

Applications

Images cliniques
