
Fonctions
Compact et multifonctionnel

Une conception compacte pour une installation simple
Le DigiEye 760 Smart est un système de radiographie numérique à suspension plafonnière pouvant être installé dans des salles de petites dimensions.
Une conception ergonomique pour un grand confort d'utilisation
Doté d'une conception unique, le potter avec un bras en L se manipule aisément avec les deux mains, permettant un positionnement précis, notamment pour les radiographies en décubitus dorsal et en position latérale.

Lumineuse, la lampe de projection (LED) affiche une grande longévité, ne requiert aucune maintenance et ne consomme que très peu d'électricité.

Plusieurs modes de contrôle pour un fonctionnement efficace

Une qualité d'image élevée avec une dose d'exposition faible
- AEC (contrôle automatique de l'exposition)
- Les paramètres de la dose sont configurés automatiquement en fonction des positions du patient
- DQE (efficacité quantité de détection)
- Extrêmement performant, le détecteur numérique à écran plat affiche une DQE élevée, même avec une dose d'exposition minimale
- LEVELS (technologie de pointe de traitement automatique des images)

Applications

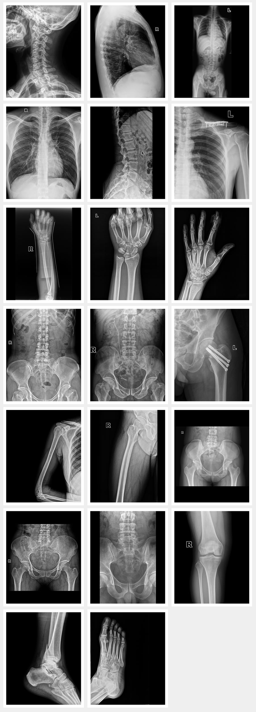
Images cliniques
